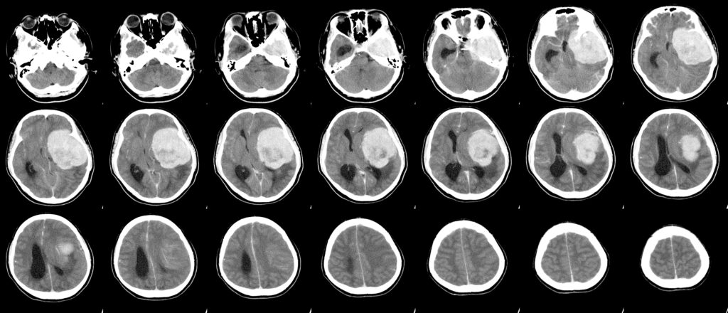
California Woman Sues Pfizer for Brain Tumor Allegedly Resulting From Depo-Provera Contraceptive Shots Posted: December 10, 2024 Levin Papantonio (LP) law firm has filed a lawsuit on behalf of Alicia Wilson, a resident of Upland, San Bernardino, California, against Pfizer, Inc.; Viatris, Inc.; Greenstone, LLC; Pharmacia and Upjohn Company LLC; Pharmacia, LLC; and Prasco LLC. The complaint (Civil Action No.: 5:24-cv-02524) alleges that the defendants manufactured, promoted, and sold the prescription drug Depo-Provera without adequately warning of its connection to the development of meningiomas, a type of brain tumor that can have severe and life-altering effects on patients. Wilson was diagnosed with an intracranial meningioma. A craniotomy confirmed her tumor was a Grade 1 meningioma. The lawsuit asserts that this serious condition, as well as its treatment and long-term consequences, has caused her severe health challenges, emotional distress, and the inability to work. Wilson first became aware of the connection between her tumor and her use of Depo-Provera in September 2024. “Depo-Provera users like Alicia Wilson placed their trust in these companies, only to face devastating consequences due to the lack of adequate warnings.”Chris Paulos, Attorney, Levin Papantonio The complaint highlights decades of scientific research indicating that Depo-Provera, when prescribed and used as directed, significantly increases the risk of intracranial meningioma. Studies have demonstrated that progesterone, its synthetic counterpart progestin, and specifically Depo-Provera, can cause or contribute to the development of these brain tumors. Despite this evidence, the U.S. label for Depo-Provera fails to disclose the increased risk of intracranial meningiomas, the lawsuit claims. Moreover, the defendants allegedly neglected to adequately warn users and prescribers in the United States about the associated dangers or the need for monitoring for related symptoms. “Depo-Provera users like Alicia Wilson placed their trust in these companies, only to face devastating consequences due to the lack of adequate warnings,” said Levin Papantonio attorney Chris Paulos. “This lawsuit seeks to hold these manufacturers accountable for the harm caused by their failure to inform patients and medical providers about the drug’s risks.” As a result of the defendants’ conduct, Wilson has endured invasive brain surgery, ongoing medical surveillance, and severe physical and emotional harm. The lawsuit demands compensatory damages, statutory damages, punitive damages, and other relief, including attorneys’ fees and pre- and post-judgment interest. Attorneys Want to Consolidate Depo-Provera Cases More than 20 lawsuits have been filed against the manufacturers of the injectable contraceptive Depo-Provera, prompting a request for case coordination in the Northern District of California. A motion filed with the U.S. Judicial Panel on Multidistrict Litigation seeks to consolidate these cases before U.S. District Judges William Orrick III or Jon Tigar. The motion highlights that most plaintiffs are likely to be from California or Massachusetts, where innovator liability laws permit lawsuits against brand manufacturer Pfizer Inc. even if the plaintiffs used unauthorized generic versions of the drug. The filing references 22 active cases against Pfizer and authorized generic providers, with 18 of those cases in California, including six in the Northern District. Additional cases are pending in Indiana, Massachusetts, Missouri, and Nevada. With nearly 2 million American women having used Depo-Provera, attorneys anticipate filing thousands of similar lawsuits, emphasizing the need for streamlined proceedings through multidistrict litigation. Depo-Provera Is a Hot Topic in the Legal Community In October, Paulos delivered a presentation at MTMP in Las Vegas, updating thousands of mass tort lawyers on the Depo-Provera litigation. The conference session provided crucial insights and underscored the importance of holding pharmaceutical companies accountable for harm caused by the popular contraceptive drug. “…it appears Upjohn targeted a demographic that likely consisted largely of black, unmarried women who already had one child but could not afford to raise more children.”Chelsie Green, Attorney, Levin Papantonio Levin Papantonio Attorney Chelsie Green has written an article on Depo-Provera for the Florida Justice Association (FJA). The piece will be published in the January/February issue of the FJA Journal. In the article, Green delves into the origins of Depo-Provera and the FDA’s approval process for the drug. This includes disturbing clinical trials in the ’60s at Atlanta’s Grady Memorial Hospital Family Planning Clinic. “The shoddy nature of this clinical study precludes us from knowing for certain, but based on what we do know, it appears Upjohn targeted a demographic that likely consisted largely of black, unmarried women who already had one child but could not afford to raise more children.” Green said. “This would be an easy way to hook women into participating in the study. And it probably helped Upjohn sleep better at night after failing to inform these women of the risks of using this drug.”